|
|
|
|
|
|
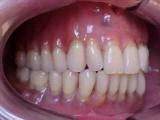
Paciente
reabilitada por substituição de dentadura
confeccionada a partir de "REGISTROS DE
PRECISÃO" (elimina a desoclusão
dos dentes anteriores pós-prensagem), com gengiva artificial
caracterizada).
A orientação estética partiu da observação da
articulação
dentária da filha da paciente.
|
|
|
 | |
 |
Dicas! |
 |
| DENTADURAS- PRÓTESE TOTAL REMOVÍVEL |
| entre |
|
Indique
este site para um Amigo!
|
 |
| |