|  | 
        
        
          |  |  
        
        
          |   | 
              
              
                | 
                              
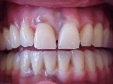
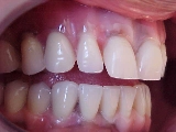
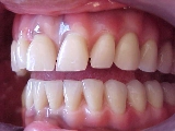
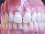
 Reabilitação através de próteses totais 
                              bi-maxilares com dentes IVOCLAR e "gengivas" 
                              artificiais caracterizadas em resina acrílica 
                              termopolimerizável
 | 
 |  
              
              
                | 
                     |  
                | 
                    |  
                | As
                  articulações dentárias (montagem laboratorial) do
                  caso apresentado nesta página foram realizadas pelo
 Dr. Amilcar Fernandes da Silva Neto.
 
                 |  |  |  | 
        
        
          |  | Dicas! |  |  
        
        
          | DENTADURAS- PRÓTESE TOTAL REMOVÍVEL |  
          | entre |  
        
        
          | 
              
                |  Indique
                  este site para um Amigo! |  
                |  |  |  |