Odontologia Estética
 Um brinde ao seu sorriso!

       

 - tratamentos
 - antes e depois
 - consultoria
 - emergências
 - cadastro
 - artigos
 - casos clínicos
 - curriculum
 - consultas
 - calendário
 - glossário
 

Powered by

As fotografias de tratamentos constantes neste site são exclusivas, e fazem parte do acervo de documentação odontológica de nossa clínica, conforme registro em cartório. Todos os casos finalizados foram por nós realizados. Reproduções parciais ou totais de fotos ou textos não estão autorizadas.As fotografias de tratamentos constantes neste site são exclusivas, e fazem parte do acervo de documentação odontológica de nossa clínica, conforme registro em cartório. Todos os casos finalizados foram por nós realizados. Reproduções parciais ou totais de fotos ou textos não estão autorizadas.


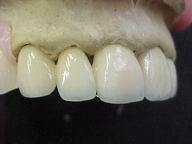
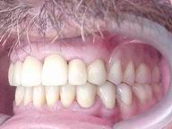
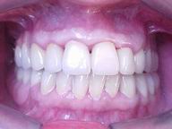
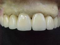
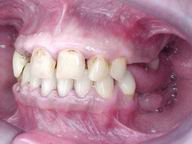
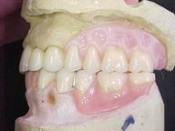
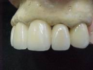
  Reabilitação funcional e estética em ambas as arcadas
com próteses fixas e removíveis de encaixe de precisão.

 

ANTES

DEPOIS
Vista Lateral Direita
Vista Lateral Esquerda
Fase Intermediária Vista Frontal
Vista Oclusal Sobre Modelos de Gesso

Dicas!
DENTADURAS- PRÓTESE TOTAL REMOVÍVEL
entre

Clínica

entre

 Indique este site para um Amigo!

Seu nome

E-mail de seu Amigo

 

   Copyright (c) 2000 - Carmella Russo Odontologia  Termos de Uso | Privacidade