Odontologia Estética
 Um brinde ao seu sorriso!

       

 - tratamentos
 - antes e depois
 - consultoria
 - emergências
 - cadastro
 - artigos
 - casos clínicos
 - curriculum
 - consultas
 - calendário
 - glossário
 

Powered by

As fotografias de tratamentos constantes neste site são exclusivas, e fazem parte do acervo de documentação odontológica de nossa clínica, conforme registro em cartório. Todos os casos finalizados foram por nós realizados. Reproduções parciais ou totais de fotos ou textos não estão autorizadas.As fotografias de tratamentos constantes neste site são exclusivas, e fazem parte do acervo de documentação odontológica de nossa clínica, conforme registro em cartório. Todos os casos finalizados foram por nós realizados. Reproduções parciais ou totais de fotos ou textos não estão autorizadas.

 

Apresentamos um caso com implantes:

Fases pré e pós-cirúrgica, utilizando Provisórios Estéticos

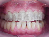
Antes: Ponte Fixa Metalo-Cerâmica Depois: Prótese Provisória
(Antes da cirurgia)
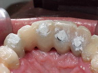
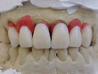
Construção dos 
Provisórios Estéticos em laboratório
Construção dos 
Provisórios Estéticos em laboratório
Construção dos 
Provisórios Estéticos em laboratório
Provisórios Estéticos após ajustes feitos diretamente na boca
Antes: Ponte Fixa Metalo-Cerâmica Depois: Prótese Provisória
(Antes da cirurgia)
Antes: Ponte Fixa Metalo-Cerâmica Depois: Prótese Provisória
(Antes da cirurgia)
Antes: Ponte Fixa Metalo-Cerâmica Depois: Prótese Provisória
(Antes da cirurgia)
Construção da guia cirúrgica  Construção da guia cirúrgica 
Prova da guia cirúrgica na boca Prova da guia cirúrgica na boca
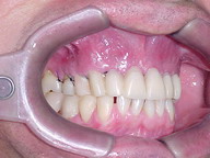
Vista direita: Provisórios Estéticos
(Após a cirurgia)
Vista esquerda: Provisórios Estéticos
(Após a cirurgia)
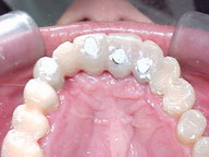
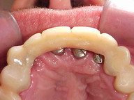
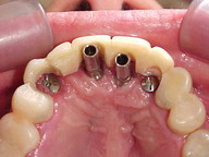
Vista Oclusal: Provisórios Estéticos com alívio sobre cicatrizadores (pós-cirurgia) Vista Oclusal: Provisórios Estéticos em preparação para ligação aos implantes
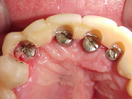
Prova de componentes protéticos provisórios sobre os implantes Prova de componentes sobre os implantes e relacionando aos desgastes 
Adição de acrílico para ligação dos componentes aos provisórios Acrílico polimerizado
Acrílico polimerizado

(vista oclusal)

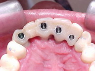
Vista oclusal da arcada superior após interligação dos provisórios com os implantes
Vista palatina da região implantada, após interligação dos provisórios com os implantes Vista direita: Provisórios Estéticos interligados aos implantes
   
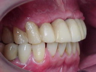
Vista lateral direita após instalação das próteses metalo-cerâmica.
   
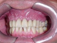
Vista frontal após instalação das próteses metalo-cerâmica.
   
Vista lateral esquerda após instalação das próteses metalo-cerâmica.
   
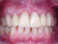
Caso Finalizado
   
   

As articulações dentárias (montagem laboratorial) dos provisórios apresentados nesta página foram realizadas pelo 
Dr. Amilcar Fernandes da Silva Neto.

Dicas!
DENTADURAS- PRÓTESE TOTAL REMOVÍVEL
entre

Clínica

Clique aqui para marcar sua consulta

entre

 Indique este site para um Amigo!

Seu nome

E-mail de seu Amigo

 

   Copyright (c) 2000 - Carmella Russo Odontologia  Termos de Uso | Privacidade