Odontologia Estética
 Um brinde ao seu sorriso!

       

 - tratamentos
 - antes e depois
 - consultoria
 - emergências
 - cadastro
 - artigos
 - casos clínicos
 - curriculum
 - consultas
 - calendário
 - glossário
 

Powered by

As fotografias de tratamentos constantes neste site são exclusivas, e fazem parte do acervo de documentação odontológica de nossa clínica, conforme registro em cartório. Todos os casos finalizados foram por nós realizados. Reproduções parciais ou totais de fotos ou textos não estão autorizadas.As fotografias de tratamentos constantes neste site são exclusivas, e fazem parte do acervo de documentação odontológica de nossa clínica, conforme registro em cartório. Todos os casos finalizados foram por nós realizados. Reproduções parciais ou totais de fotos ou textos não estão autorizadas.

 

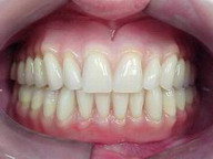
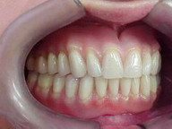
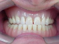
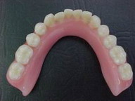
Paciente do sexo feminino, 40 anos, pele clara.

Foram substituídas suas dentaduras por próteses personalizadas com gengiva artificial caracterizada

Antes Depois
   
Antes Depois
   
Antes Depois
   
Antes Depois
   
Antes Depois
   
Antes Depois
 
Antes Depois
 
Antes Depois
 
Antes Depois
 
Antes Depois
 
Antes Depois
 

Vista frontal da articulação dentária em cera com grande abertura posterior (distância entre molares)

   
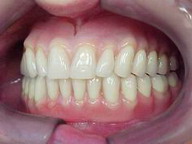
Vista frontal pós-prensagem e acabamento da resina (gengiva artificial caracterizada)
   

 

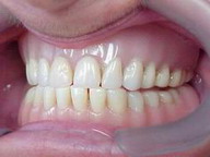
Vista lateral direita após acabamento

 

   
Vista frontal após acabamento
   
Vista lateral esquerda após acabamento
   
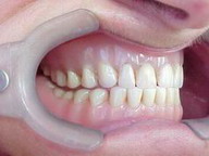
Vista oclusal do palato transparente ("pálato incolor")
   
Vista oclusal inferior
   
Vista interna do palato transparente
   
Vista interna da prótese inferior
   
Vista interna da articulação posterior esquerda
   
Vista interna da articulação anterior
   
Vista interna da articulação posterior direita
   
Detalhe natural
   
Outro detalhe: "mordendo a língua"
   
Aspecto final após reabilitação
   
As articulações dentárias (montagem laboratorial) do caso 
apresentado nesta página foram realizadas pelo 
Dr. Amilcar Fernandes da Silva Neto.

Dicas!
DENTADURAS- PRÓTESE TOTAL REMOVÍVEL
entre

Clínica

Clique aqui para marcar sua consulta

entre

 Indique este site para um Amigo!

Seu nome

E-mail de seu Amigo

 

   Copyright (c) 2000 - Carmella Russo Odontologia  Termos de Uso | Privacidade