Odontologia Estética
 Um brinde ao seu sorriso!

       

 - tratamentos
 - antes e depois
 - consultoria
 - emergências
 - cadastro
 - artigos
 - casos clínicos
 - curriculum
 - consultas
 - calendário
 - glossário
 

Powered by

As fotografias de tratamentos constantes neste site são exclusivas, e fazem parte do acervo de documentação odontológica de nossa clínica, conforme registro em cartório. Todos os casos finalizados foram por nós realizados. Reproduções parciais ou totais de fotos ou textos não estão autorizadas.As fotografias de tratamentos constantes neste site são exclusivas, e fazem parte do acervo de documentação odontológica de nossa clínica, conforme registro em cartório. Todos os casos finalizados foram por nós realizados. Reproduções parciais ou totais de fotos ou textos não estão autorizadas.

 

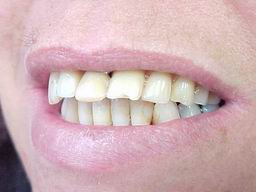
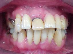
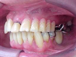
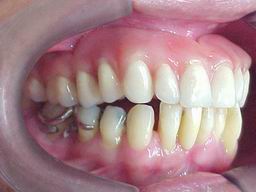
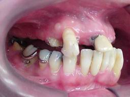
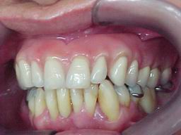
Caso reabilitado por dentadura imediata (pós-extrações) no maxilar superior, em paciente de 37 anos (sexo feminino). 
dentaduras especiais proteses próteses especiais dentaduras personalizadas dentadura personalizada
 
ANTES DEPOIS
   
   
ANTES DEPOIS
   
ANTES DEPOIS
   
ANTES DEPOIS
   
0ANTES DEPOIS
0
As articulações dentárias (montagem laboratorial) do caso 
apresentado nesta página foram realizadas pelo 
Dr. Amilcar Fernandes da Silva Neto.

Dicas!
DENTADURAS- PRÓTESE TOTAL REMOVÍVEL
entre

Clínica

Clique aqui para marcar sua consulta

entre

 Indique este site para um Amigo!

Seu nome

E-mail de seu Amigo

 

   Copyright (c) 2000 - Carmella Russo Odontologia  Termos de Uso | Privacidade

prótese total imediata protese