Odontologia Estética
 Um brinde ao seu sorriso!

       

 - tratamentos
 - antes e depois
 - consultoria
 - emergências
 - cadastro
 - artigos
 - casos clínicos
 - curriculum
 - consultas
 - calendário
 - glossário
 
 

Powered by

As fotografias de tratamentos             constantes neste site são exclusivas, e fazem parte do acervo de             documentação odontológica de nossa clínica, conforme registro em             cartório. Todos os casos finalizados foram por nós realizados.              Reproduções parciais ou totais de fotos ou textos não estão             autorizadas.

 

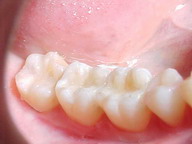
Caso 1

ANTES

DEPOIS

INLAY / ONLAY 
Restauração estética indireta* em resina
 
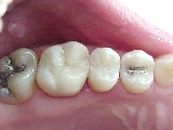
Caso 2
ANTES DEPOIS
INLAY / ONLAY 
Restauração estética indireta* em resina
 
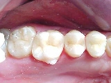
Caso 3
ANTES DEPOIS
INLAY / ONLAY 
Pré-molar: Restauração estética direta em resina 
Primeiro molar: Coroa metalo-cerâmica
Segundo molar: Restauração indireta (idem caso acima)
 
Caso 4
ANTES DEPOIS
Substituição de restaurações em amálgama de prata por resina composta no segundo pré-molar e por ONLAY ARTGLASS no primeiro molar.
Fase laboratorial ONLAY ARTGLASS
   
ANTES DEPOIS
 Caso acima, em outro ângulo, no momento da cimentação do ONLAY
 
Caso 5
ANTES DEPOIS
 
O caso acima ilustra uma substituição de restauração de amálgama por um INLAY Artglass ( 1º molar) e restauração em resina composta no 2º molar.
 
Caso 6
Seqüência laboratorial e clínica (pós-cimentação)
 
Caso 7
Seqüência laboratorial e clínica (pós-cimentação)
 
Caso 8
Substituição de restaurações de amálgama por Artglass e Resina Composta.
* Confeccionada em laboratório

Dicas!
DENTADURAS- PRÓTESE TOTAL REMOVÍVEL
entre

Clínica

entre

 Indique este site para um Amigo!

Seu nome

E-mail de seu Amigo

 

   Copyright (c) 2000 - Carmella Russo Odontologia  Termos de Uso | Privacidade