Odontologia Estética
 Um brinde ao seu sorriso!

       

 - tratamentos
 - antes e depois
 - consultoria
 - emergências
 - cadastro
 - artigos
 - casos clínicos
 - curriculum
 - consultas
 - calendário
 - glossário
 

Powered by

As fotografias de tratamentos constantes neste site são exclusivas, e fazem parte do acervo de documentação odontológica de nossa clínica, conforme registro em cartório. Todos os casos finalizados foram por nós realizados. Reproduções parciais ou totais de fotos ou textos não estão autorizadas.As fotografias de tratamentos constantes neste site são exclusivas, e fazem parte do acervo de documentação odontológica de nossa clínica, conforme registro em cartório. Todos os casos finalizados foram por nós realizados. Reproduções parciais ou totais de fotos ou textos não estão autorizadas.

 

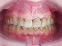
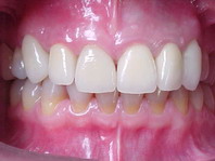
Caso preparado para Facetas Cerâmicas:
Cirurgia Periodontal Estética para aumento de
coroas clínicas (pré e pós-cirúrgico)
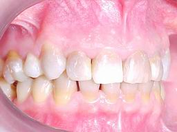
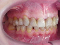
Diagnóstico:  Escurecimento severo por tetraciclina
Enxerto gen
ANTES DEPOIS
Enxerto gen
ANTES DEPOIS
Enxerto gen
ANTES DEPOIS
Enxerto gen
 
ANTES DEPOIS
Enxerto gen
Dentes Escurecidos Provisórios em Resina
Enxerto gen
 
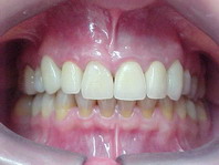
Dentes Escurecidos  Facetas Cerâmicas
Enxerto gen
Dentes Escurecidos Provisórios
Enxerto gen
Dentes Escurecidos Facetas Cerâmicas
Enxerto gen
 
Dentes Escurecidos Facetas Cerâmicas
Enxerto gen
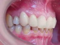
Facetas Cerâmicas 

(close frontal)

   
Enxerto gen
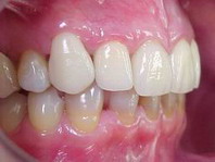
Facetas Cerâmicas

(close lateral) 

   
Enxerto gen
Aspecto final após a finalização 
   
 
Caso planejado e tratado pelo 
Dr. Amilcar Fernandes da Silva Neto.

Dicas!
DENTADURAS- PRÓTESE TOTAL REMOVÍVEL
entre

Clínica

Clique aqui para marcar sua consulta

entre

 Indique este site para um Amigo!

Seu nome

E-mail de seu Amigo

 

   Copyright (c) 2000 - Carmella Russo Odontologia  Termos de Uso | Privacidade