Odontologia Estética
 Um brinde ao seu sorriso!

       

 - tratamentos
 - antes e depois
 - consultoria
 - emergências
 - cadastro
 - artigos
 - casos clínicos
 - curriculum
 - consultas
 - calendário
 - glossário
 

Powered by

As fotografias de tratamentos constantes neste site são exclusivas, e fazem parte do acervo de documentação odontológica de nossa clínica, conforme registro em cartório. Todos os casos finalizados foram por nós realizados. Reproduções parciais ou totais de fotos ou textos não estão autorizadas.As fotografias de tratamentos constantes neste site são exclusivas, e fazem parte do acervo de documentação odontológica de nossa clínica, conforme registro em cartório. Todos os casos finalizados foram por nós realizados. Reproduções parciais ou totais de fotos ou textos não estão autorizadas.

 

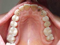
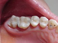
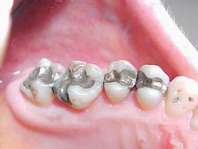
Reabilitação Estética por substituição de restaurações em amálgama de prata por Inlays Artglass.
 
 
ANTES DEPOIS
Enxerto gen
ANTES DEPOIS
 
ANTES DEPOIS
   
ANTES DEPOIS
   
Arcada inferior reabilitada 10 anos antes com Dentacolor.
 (Foto: Outubro/2005)
   
Trabalhos executados pelo
Dr. Amilcar Fernandes da Silva Neto
 

Dicas!
DENTADURAS- ProtESE TOTAL REMOVÍVEL
entre

Clínica

Clique aqui para marcar sua consulta

entre

 Indique este site para um Amigo!

Seu nome

E-mail de seu Amigo

 

   Copyright (c) 2000 - Carmella Russo Odontologia  Termos de Uso | Privacidade