Odontologia Estética
 Um brinde ao seu sorriso!

       

 - tratamentos
 - antes e depois
 - consultoria
 - emergências
 - cadastro
 - artigos
 - casos clínicos
 - curriculum
 - consultas
 - calendário
 - glossário
 

Powered by

As fotografias de tratamentos constantes neste site são exclusivas, e fazem parte do acervo de documentação odontológica de nossa clínica, conforme registro em cartório. Todos os casos finalizados foram por nós realizados. Reproduções parciais ou totais de fotos ou textos não estão autorizadas.As fotografias de tratamentos constantes neste site são exclusivas, e fazem parte do acervo de documentação odontológica de nossa clínica, conforme registro em cartório. Todos os casos finalizados foram por nós realizados. Reproduções parciais ou totais de fotos ou textos não estão autorizadas.

 

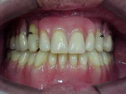
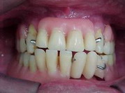
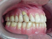
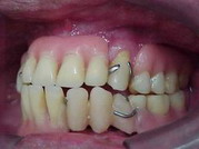
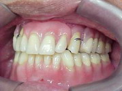
Reabilitação estética com com prótese removível superior e dentadura inferior com gengiva artificial caracterizada.
Enxerto
ANTES DEPOIS
Enxerto gen
ANTES DEPOIS
Enxerto gen
ANTES DEPOIS
Enxerto gen
 
ANTES DEPOIS
 
ANTES DEPOIS
 
ANTES DEPOIS
 
ANTES DEPOIS
Caso concluído com reversão da tendência articular em Classe III devido à atresia maxilar 
   
Articulação dentária realizada pelo Dr. Amilcar Fernandes da Silva Neto

Dicas!
DENTADURAS- PRÓTESE TOTAL REMOVÍVEL
entre

Clínica

Clique aqui para marcar sua consulta

entre

 Indique este site para um Amigo!

Seu nome

E-mail de seu Amigo

 

   Copyright (c) 2000 - Carmella Russo Odontologia  Termos de Uso | Privacidade