Odontologia Estética
 Um brinde ao seu sorriso!

       

 - tratamentos
 - antes e depois
 - consultoria
 - emergências
 - cadastro
 - artigos
 - casos clínicos
 - curriculum
 - consultas
 - calendário
 - glossário
 

Powered by

As fotografias de tratamentos constantes neste site são exclusivas, e fazem parte do acervo de documentação odontológica de nossa clínica, conforme registro em cartório. Todos os casos finalizados foram por nós realizados. Reproduções parciais ou totais de fotos ou textos não estão autorizadas.As fotografias de tratamentos constantes neste site são exclusivas, e fazem parte do acervo de documentação odontológica de nossa clínica, conforme registro em cartório. Todos os casos finalizados foram por nós realizados. Reproduções parciais ou totais de fotos ou textos não estão autorizadas.

 

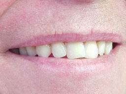
Reabilitação do sorriso sob orientação de "arquivo fotográfico". A paciente apresentou uma fotografia de seu sorriso natural em sua adolescência. A partir da análise do sorriso original foram coletados  "dados informativos", como: Modelo ideal dos dentes artificiais e articulação dentária segundo o padrão facial.
Enxerto
Sorriso "Adolescente" Prova de Articulação
 
 
ANTES DEPOIS
Enxerto gen
ANTES DEPOIS
 
ANTES DEPOIS
   
ANTES DEPOIS
   
ANTES DEPOIS
   
Sorriso "Adolescente" Sorriso Reabilitado
Articulação dentária, planejamento e execução realizados
 pelo Dr. Amilcar Fernandes da Silva Neto
 
 

Dicas!
DENTADURAS- ProtESE TOTAL REMOVÍVEL
entre

Clínica

Clique aqui para marcar sua consulta

entre

 Indique este site para um Amigo!

Seu nome

E-mail de seu Amigo

 

   Copyright (c) 2000 - Carmella Russo Odontologia  Termos de Uso | Privacidade