Odontologia Estética
 Um brinde ao seu sorriso!

       

 - tratamentos
 - antes e depois
 - consultoria
 - emergências
 - cadastro
 - artigos
 - casos clínicos
 - curriculum
 - consultas
 - calendário
 - glossário
 

Powered by

As fotografias de tratamentos constantes neste site são exclusivas, e fazem parte do acervo de documentação odontológica de nossa clínica, conforme registro em cartório. Todos os casos finalizados foram por nós realizados. Reproduções parciais ou totais de fotos ou textos não estão autorizadas.As fotografias de tratamentos constantes neste site são exclusivas, e fazem parte do acervo de documentação odontológica de nossa clínica, conforme registro em cartório. Todos os casos finalizados foram por nós realizados. Reproduções parciais ou totais de fotos ou textos não estão autorizadas.

 

Caso planejado para implantes bi-maxilares. A arcada inferior apresentou condições para receber "carga imediata" sobre os implantes "GT"(lançado em meados de 2005).  Os implantes da maxila foram instalados em setembro de 2005 e aguardaram o período de 4 meses para osseointegração dos implantes. A protocolo inferior foi realizada 3 semanas antes da segunda cirurgia.
 
   
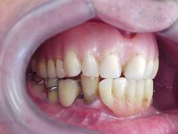
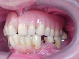
ANTES DEPOIS
Avaliação do espaço disponível para confecção da  "Protocolo" inferior Protocolo inferior com dentes montados em cera para prova de articulação
Avaliação do espaço disponível para confecção da  "Protocolo" inferior Protocolo inferior com dentes montados em cera para prova de articulação
   
Vista lateral direita Vista lateral esquerda
   

Superior: Ensaio em cera Inferior:    Montagem   em cera sobre barra fundida (Ver fotos).

Dentadura provisória superior confeccionada a partir da reprodução do "ensaio" em cera.
Enxerto gen
ANTES Dentadura provisória superior confeccionada a partir da reprodução do "ensaio" em cera.
Enxerto gen
ANTES Dentadura provisória superior confeccionada a partir da reprodução do "ensaio" em cera.
Enxerto gen
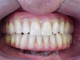
ANTES DEPOIS (Aspecto estético melhorado com provisória superior)
 
ANTES DEPOIS
   
ANTES DEPOIS
Preparação para moldagem Cicratizadores após reabertura dos implantes superiores
   
Modelo de trabalho Protocolo superior montada em cera
Veja seqüência completa (ver fotos)
   
ANTES
(
Protocolo superior em cera)
DEPOIS
(Protocolo superior acrilizada)
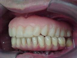
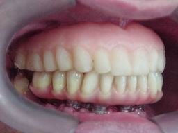
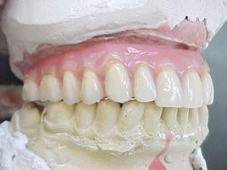
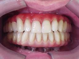
Caso finalizado Caso finalizado
   
Caso finalizado Caso finalizado
   
Caso finalizado Caso finalizado
   
   
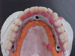
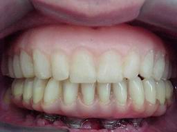
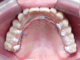
Vista oclusal da "Protocolo" superior finalizada
   
Vista frontal da  "Protocolo" superior finalizada
   
Vista superior  da "Protocolo" superior finalizada
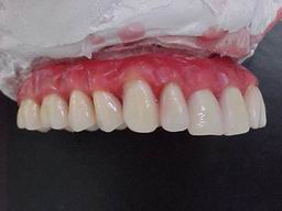
Detalhe interno (antes da acrilização)
Aparafusamento provisório na boca

Guias Estético e Cirúrgico-Tomográfico

 

 Dentadura Superior Provisória

   

Guia Tomográfico
(Vista Lateral)

   

Guia Tomográfico
(Vista Interna)

 

   

Guia Cirúrgico-Tomográfico
(Vista Interna)

   

Guia Cirúrgico-Tomográfico
(Vista Oclusal)

Articulação dentária, planejamento e execução realizados
 pelo Dr. Amilcar Fernandes da Silva Neto

Dicas!
DENTADURAS- ProtESE TOTAL REMOVÍVEL
entre

Clínica

Clique aqui para marcar sua consulta

entre

 Indique este site para um Amigo!

Seu nome

E-mail de seu Amigo

 

   Copyright (c) 2000 - Carmella Russo Odontologia  Termos de Uso | Privacidade