Odontologia Estética
 Um brinde ao seu sorriso!

       

 - tratamentos
 - antes e depois
 - consultoria
 - emergências
 - cadastro
 - artigos
 - casos clínicos
 - curriculum
 - consultas
 - calendário
 - glossário
 

Powered by

As fotografias de tratamentos constantes neste site são exclusivas, e fazem parte do acervo de documentação odontológica de nossa clínica, conforme registro em cartório. Todos os casos finalizados foram por nós realizados. Reproduções parciais ou totais de fotos ou textos não estão autorizadas.As fotografias de tratamentos constantes neste site são exclusivas, e fazem parte do acervo de documentação odontológica de nossa clínica, conforme registro em cartório. Todos os casos finalizados foram por nós realizados. Reproduções parciais ou totais de fotos ou textos não estão autorizadas.

 

Seqüência de construção das barras metálicas .

Enceramento prévio para confecção da barra fundida (Protocolo Inferior):
   
   

   
Fases laboratoriais para confecção da barra fundida da "Protocolo" superior:
Réplicas dos componentes sobre implantes (modelo de gesso) Enceramento da barra superior sobre as réplicas no modelo de gesso
   
Vistas laterais do enceramento
   
Prova da estrutura fundida, seccionamento e preparação para solda Barra soldada com dentes montados em cera para prova de articulação
   
Vista oclusal da "Protocolo" antes da acrilização Superior: Prova de montagem em cera      sobre barra fundida.
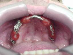
Inferior: Protocolo inferior acrilizada.
   

 

VOLTAR

Dicas!
DENTADURAS- ProtESE TOTAL REMOVÍVEL
entre

Clínica

Clique aqui para marcar sua consulta

entre

 Indique este site para um Amigo!

Seu nome

E-mail de seu Amigo

 

   Copyright (c) 2000 - Carmella Russo Odontologia  Termos de Uso | Privacidade