Odontologia Estética
 Um brinde ao seu sorriso!

       

 - tratamentos
 - antes e depois
 - consultoria
 - emergências
 - cadastro
 - artigos
 - casos clínicos
 - curriculum
 - consultas
 - calendário
 - glossário
 

Powered by

As fotografias de tratamentos constantes neste site são exclusivas, e fazem parte do acervo de documentação odontológica de nossa clínica, conforme registro em cartório. Todos os casos finalizados foram por nós realizados. Reproduções parciais ou totais de fotos ou textos não estão autorizadas.As fotografias de tratamentos constantes neste site são exclusivas, e fazem parte do acervo de documentação odontológica de nossa clínica, conforme registro em cartório. Todos os casos finalizados foram por nós realizados. Reproduções parciais ou totais de fotos ou textos não estão autorizadas.

 

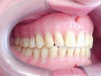
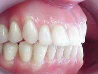
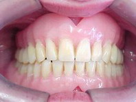
Reabilitação Estética por substituição de dentaduras antigas
 
 
ANTES DEPOIS
Enxerto gen
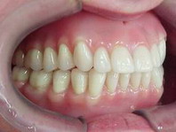
ANTES DEPOIS
 
ANTES DEPOIS
   
ANTES DEPOIS
   
ANTES DEPOIS
   
ANTES DEPOIS
   
ANTES DEPOIS
   
ANTES DEPOIS
   
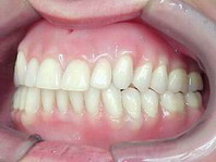
Tratamento Concluído
 
Ângulos Especiais:
Close
   
Close
   
Gengivas Artificiais Caracterizadas
Articulação dentária, planejamento e execução realizados
 pelo Dr. Amilcar Fernandes da Silva Neto
 

Dicas!
DENTADURAS- ProtESE TOTAL REMOVÍVEL
entre

Clínica

Clique aqui para marcar sua consulta

entre

 Indique este site para um Amigo!

Seu nome

E-mail de seu Amigo

 

   Copyright (c) 2000 - Carmella Russo Odontologia  Termos de Uso | Privacidade